💐【裏ハムラ法】クマ取り症例解説|eクリニック岡山院 田嶋隼也
‘.+*:・目の下のたるみや影が改善したことで
一気に目元の印象が若返った症例です・:*+.’
症例プロフィール
- 年齢:40代
- 性別:女性
- お悩み:老けた印象の目元
- 施術内容:裏ハムラ法
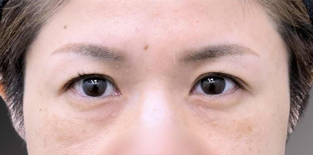
▼術前の状態

眼窩脂肪の突出が目立ち、ティアトラフによる凹みが見られました。
ティアトラフとは、目頭の下から頬にかけてできる「目の下のくぼみ」や「溝」のことで、年齢とともに起こる皮膚の薄化、皮下脂肪の減少、骨格バランスの変化により、「影クマ」や「老け顔」の原因となります。
【クマ取り施術について】
なぜ裏ハムラ法を選択したのか?
裏ハムラ法は眼窩脂肪を除去せずに凹みに移動、固定することで目の下の膨らみと凹みを同時に改善する術式です。脱脂法と比較して再発リスクが低く、より自然な仕上がりが期待できます。

黄色で表されている眼窩脂肪の部分が突出しています。

【表ハムラ施術後のダウンタイム経過・仕上がりについて】

だるさ・熱感・頭痛・痒み・浮腫・発熱などがあります。
多くは一時的なもので、時間の経過とともに落ち着いていきます。
術後1ヶ月の状態です。
この時点ではまだ少し腫れが残りますが、クマが解消していることが分かります。
時間の経過とともにさらに馴染み、3ヶ月ほどでほぼ完成になります。
(※経過には個人差があります)。
【同じようなお悩みをお持ちの方へ】

だるさ・熱感・頭痛・痒み・浮腫・発熱などがあります。
多くは一時的なもので、時間の経過とともに落ち着いていきます。
目の下のクマやたるみは、
- 脂肪の突出
- 凹み
- 皮膚のたるみ
が複合的に関与していることが多く、
単一の施術ですべてを解決できるとは限りません。
状態を正確に見極めたうえで、裏ハムラ法・表ハムラ法・脱脂術などを適切に選択することが、自然で満足度の高い仕上がりに繋がります。
eクリニック岡山院ならクマ取りの全ての術式に対応可能です。また、初回カウンセリングから医師が直接診察をさせていただくので、お悩みに沿って、おひとりずつ最適な術式をご提案させていただきます。
お悩みの方はぜひ無料カウンセリングにお越しください。
【料金表】
eクリニック岡山院の裏ハムラ法の料金
| 裏ハムラ法 | 通常価格 ¥286,000(税込) |
|---|---|
| モニター価格 ¥219,780(税込) |
|医師紹介
e clinic 田嶋 隼也 医師

はじめまして、e-clinicの田嶋と申します。 以前保険診療の皮膚科で勤務しておりましたが、根底では美しく綺麗になりたいという想いを抱えている方が数多くいらっしゃいました。
美容医療に携わるようになってから、疾患の有無に関係なく医療技術を駆使して充実した日々を過ごすお手伝いができることに非常にやりがいを感じています。
近年は美容医療の認知も広がり、お金は掛けられないけど綺麗になりたい、という方は多くいらっしゃるかと思います。
e-clinicは高品質な美容医療を低価格で提供することをモットーにしております。
価格面で諦めていた方もぜひ一度お問い合わせください。
【経歴】
・信州大学医学部医学科入学
・東京都済生会中央病院
・都内美容クリニック勤務
・eクリニック















